ホワイトニングについて
歯の汚れや黄ばみを除去して
きれいな口元を目指しましょう
歯の表面や裏側に着色汚れがあって目立つ、歯が黄ばんでいるなど、歯の見た目でお悩みのかたは少なくありません。当院は歯のホワイトニングを行っており、汚れの除去や歯の漂白を通じて、輝くような白い歯に仕上げることもできます。ホワイトニングをお考えのかたは、ぜひ一度ご相談ください。
CONSULTATION
こんな場合はご相談ください
- 歯が黄ばんでいる
- もっと歯を白くしたい
- 歯の裏に汚れがある
- 自宅でホワイトニングしたい
- ヤニ汚れが目立つ
- 見た目にこだわりたい
- 早急に歯を白くしたい
- ボーテ式ホワイトニングに興味がある
当院のホワイトニング
ボーテ式ホワイトニングを導入
技術の高い歯科衛生士が処置を対応
当院は、ホワイトニングサロン「ボーテ(Beaute)」のシステムを導入したホワイトニングを実施しております。ボーテ式ホワイトニングは、高い漂白効果と白さの長持ちが期待できる施術として知られています。当院では、ボーテ式ホワイトニングの研修を受けて合格した歯科衛生士が処置を対応いたします。
リーズナブルな価格設定で
気軽に試すことができるホワイトニング
当院では、歯科医院で行うホワイトニングを多くのかたに受けていただきたい想いから、手頃な価格設定を実現しました。ホワイトニングの一般的な相場の半額から1/3と、非常にリーズナブルな料金で提供しております。ホワイトニングにご興味があるかた、試してみたいかたなど、ぜひ一度当院までご相談ください。
ホワイトニングの種類
オフィスホワイトニング
歯科医院で行われるオフィスホワイトニングでは、歯を漂白する成分が入ったホワイトニング専用の薬剤を使用します。歯の表面に付着した汚れの除去はもちろん、歯の内部を漂白するため高いホワイトニング効果が期待できます。
ホームホワイトニング
患者さん専用のマウスピースを作製して、ご自宅でホワイトニングを行います。ホームホワイトニング用の薬剤をマウスピースに塗布し、装着することで歯を白くしていきます。効果の持続期間が長いことが、ホームホワイトニングのメリットです。
デュアルホワイトニング
ご自宅で行うホームホワイトニング、歯科医院で行うオフィスホワイトニングを併用して実施することをデュアルホワイトニングと言います。費用負担は高くなるものの、両方のメリットを得られるため、ホワイトニング効果の即効性と持続性が期待できます。
ホワイトニングの流れ
オフィスホワイトニング
01 カウンセリング・現在の歯の色の確認
カウンセリングでお悩みやご希望をお伺いした後、色見本を使って現在の歯の白さ、目標とする色を確認します。
02 ホワイトニング前のクリーニング
ホワイトニングによる漂白効果を高めるため、歯の表面的な汚れを落とします。
03 唇の保護
唇を保護するため、アロマとホホバオイル含有のクリームを塗布します。
04 薬剤の塗布・光照射
ホワイトニング薬剤を歯に塗り、LEDライトを8分間照射する工程を2回繰り返します。
05 歯の表面をコーティング
薬剤を落として口をゆすいだ後、アパタイト入りのペーストで歯をコーティングします。
06 ホワイトニング後の歯の色の確認
歯の色をご確認いただき、オフィスホワイトニングは終了です。
ホームホワイトニング
01 カウンセリング・現在の歯の色の確認
カウンセリングでお悩み・ご希望をお伺いした後、色見本を使って現在の歯の白さ、目標とする色を確認します。
02 ホワイトニング前のクリーニング
ホワイトニングによる漂白効果を高めるため、歯の表面的な汚れを落とします。
03 ホワイトニングトレー作成用の型取り
型取りを行い、患者さん専用のホワイトニングトレーを作製します。
04 次回来院時、完成したとレートホワイトニング剤のお渡し
ホワイトニングトレーとホワイトニング薬剤をお渡しします。当日からホームホワイトニングを開始していただけます。
ウォーキングブリーチについて
神経を取った失活歯の変色には
ウォーキングブリーチがおすすめです
失活歯とは神経が機能していない歯の総称であり、むし歯や外傷により神経活動が停止したものや神経を抜去したものなどが該当します。失活歯のデメリットの一つに歯の変色がありますが、当院では変色した失活歯のホワイトニングであるウォーキングブリーチに対応しております。お悩みのかたは、一度ご相談ください。
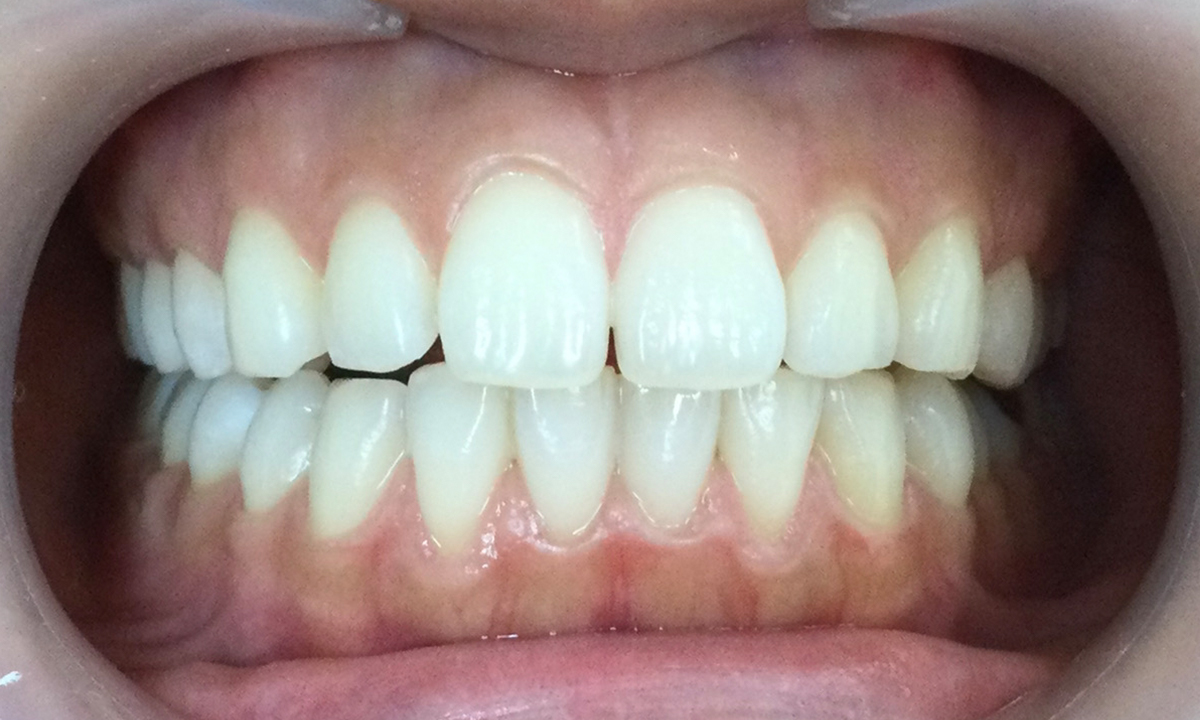
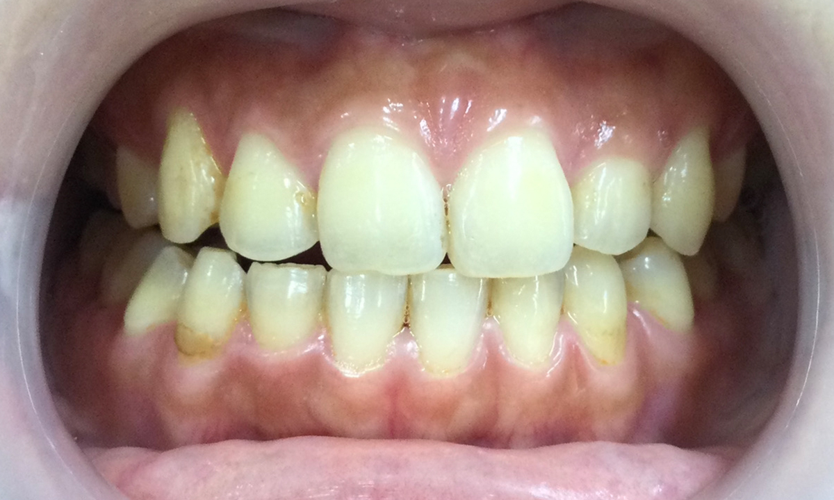
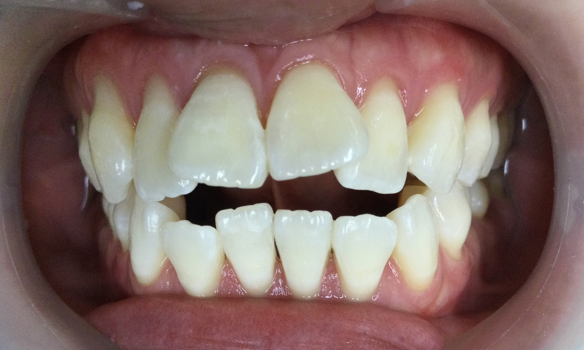
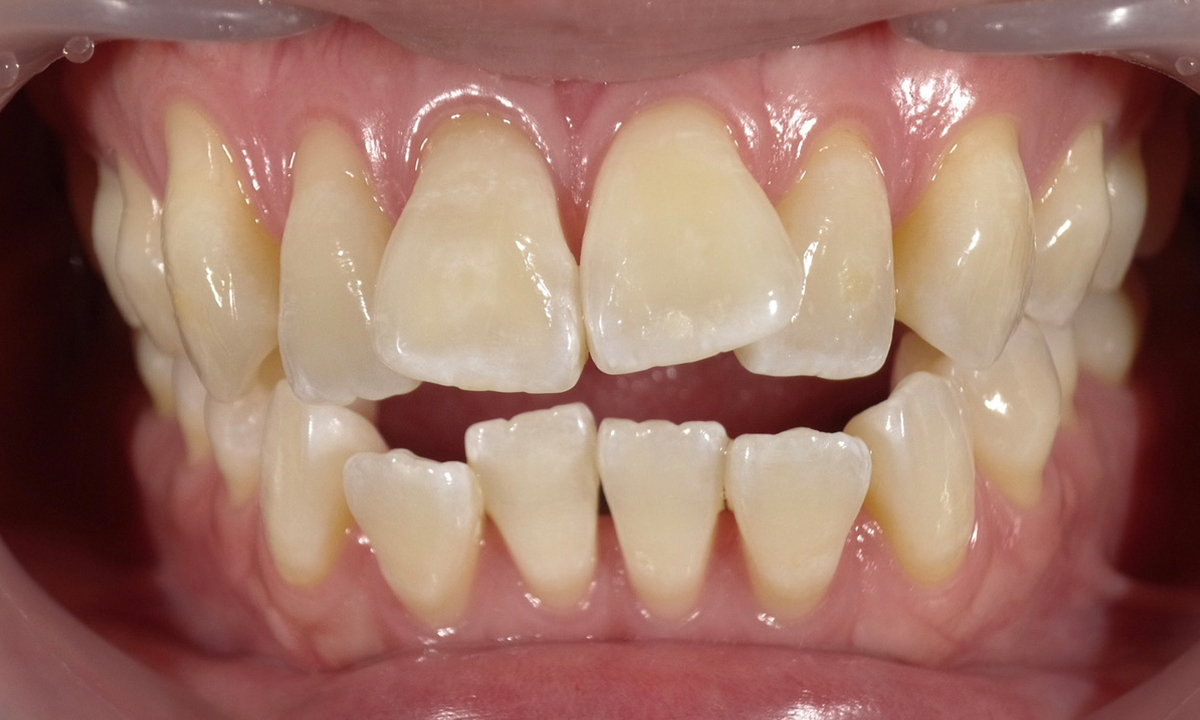
症例
費用
料金表
| オフィスホワイトニング | ボーテ式オフィスホワイトニング | 60分:15,400円 |
|---|---|---|
| ボーテ式スペシャルホワイトニング | 90分:31,900円 | |
| ホームホワイトニング | ボーテ式ホームホワイトニングスタートセット | 39,600円 |
| ホームジェル追加分 | 7,700円(2本/10日分) | |
| マウスピース再製料 | 5,500円(片顎) | |
| コースメニュー | 1ヵ月コース | 89,600円 |
| 2ヵ月コース | 132,000円 | |
| 3ヵ月コース | 178,200円 | |
| 年間コース | 256,300円 | |
| ウォーキングブリーチ | 22,000円 | |
※表示金額は全て税込みです。
※ボーテ式オフィスホワイトニングはお得な回数券もご用意しております。詳しくはお問い合わせください。
お支払方法
当院では、下記のお支払方法が可能です。

- 現金
- 現金でのお支払い

- クレジットカード
- ※自由診療のみ
VISA/JCB/
Mastercard/など

- デンタルローン
- 低金利分割払いでの
お支払い

- PayPay
- ※自由診療のみ

- d払い
- ※自由診療のみ
医療費控除について
1年間(1月1日~12月31日)に10万円以上の医療費を支払った場合は、医療費控除によって一定の金額の所得控除を受けることができます。ご自身の支払いに限らず、生計を共にするご家族が支払った医療費も対象となります。詳しくは国税庁のホームページをご覧ください。
注意点・リスク・副作用
・ホワイトニングの程度の調整は困難かつ効果には個人差があり、白くなる程度の結果をお約束することはできません。
・均一な白さにならず、色むらが生じる場合があります。
・ホワイトニング効果には約6ヵ月以降で後戻りが生じることがあるため、追加ホワイトニングが望ましくなる場合があります。白さを維持するメンテナンスも大切です。
・むし歯や歯周病、着色・歯石・歯垢の沈着によってはすぐにホワイトニングができないことがあります。
・妊娠中や授乳中のかたのホワイトニングについては安全性が確立されていません。
・無カタラーゼ血症のかたにはホワイトニングができません。
・ホワイトニング治療期間には一時的に知覚過敏が生じることがあります。重度の知覚過敏のかたはホワイトニングには向いていません。
・人工歯や金属による変色歯はホワイトニングでは白くできません。
・薬物性の変色、神経を除去された歯はホワイトニング効果が出にくい場合が多いです。
・ホワイトニング中やホワイトニング後しばらくは、色の濃い飲食でホワイトニング効果が落ちる場合があります。
・ホームホワイトニング用のマウスピースにより、一時的に歯ぐきに炎症が起こる場合があります。
・ホワイトニングは自由診療となります。

